Odos problemos: Tradicinės Kinų Medicinos požiūris
Oda – ne tik kūno "apvalkalas", bet ir svarbus organizmo sveikatos indikatorius. Tradicinė Kinų Medicina (TKM) žvelgia į odą kaip į viso organizmo energetinės pusiausvyros atspindį.
DERMOTOLOGIJA
Karolis Petraitis


Svarbu: TKM gali būti naudojama kaip papildoma priemonė kartu su kitais odos gerinimo metodais, o kai kuriais atvejais – kaip pagrindinė priemonė odos sveikatai palaikyti.
TKM terminai: paprasta, bet giliai prasminga
Skirtingai nuo šiuolaikinės medicinos, TKM naudoja paprastus, kasdienius žodžius, tokius kaip „vėjas“, „karštis“, „drėgmė“, „energija“, kad apibūdintų subtilius organizmo procesus. Šie žodžiai gali atrodyti metaforiški, tačiau jie remiasi tūkstantmečius senove praktika ir padeda greitai identifikuoti problemas:
Vėjas – reiškia greitus pokyčius, judėjimą ar niežėjimą odoje.
Karštis – per didelę energijos koncentraciją, kuri pasireiškia paraudimu, uždegimu ar skausmu.
Drėgmė – kaupimąsi organizme, kuris gali sukelti odos patinimą, pūlinius ar skysčių kaupimąsi.
Energija (Qi) – gyvybinės energijos tėkmę kūne, kurios disbalansas gali atsispindėti odos būklėje.
Tokie terminai padeda paprastai, bet tiksliai apibūdinti odos pažeidimus ir nukreipia gydymą tinkama linkme. Jie taip pat yra lengvai suprantami pacientams, todėl gali būti naudojami kaip papildomas paaiškinimas kartu su žolelių ar procedūrų pasirinkimu.
Pirminiai pažeidimai – tai pirmieji bėrimai, atsirandantys nepriklausomai nuo įbrėžimų ar uždegimo:
1. Makulė (Macules, iki 0,5 cm)
TKM interpretacija: plokšti išbėrimai iki 0.5cm dydžio. Didesnė nei 0.5cm vadinasi Plokštelė "Plaque". TKM, makulės ir plokštelės atpažystamos vienodai.
Raudonos – šilumos padidėjimas organizme, pasireiškiantis odos paraudimu ar lengvu uždegimu.
Melsvos – kraujo judėjimo sutrikimas, kraujo stazė.
Baltos – energijos ir kraujo nesuderinamumas (pvz., vitiligo).
Rudos ar geltonos – kepenų energijos stagnacija, galimas drėgmės kaupimasis odoje.
Vaistažolės, dažniausiai naudojamos formulėse tokiems odos požymiams:
Huang Qin, Huang Lian – šalina karštį
Yi Yi Ren, Cang Zhu – šalina drėgmę
Sheng Di Huang – vėsina kraują


Maculės pvz.
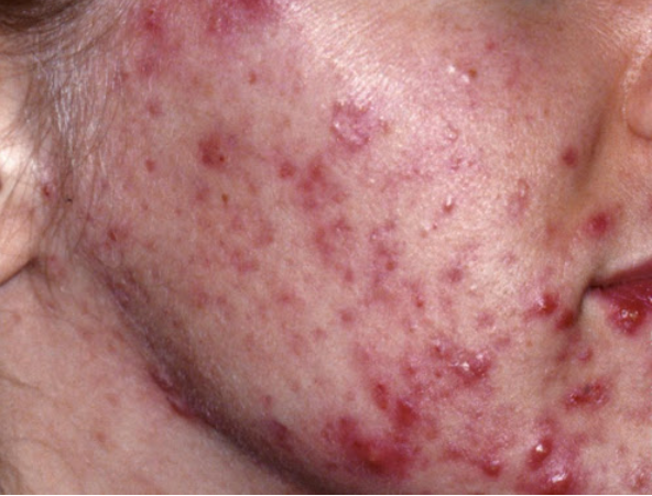
2. Iškilę mazgeliai (Papulės, iki 0,5 cm)
TKM interpretacija:
Raudonos – vėjo (jeigu yra niežulys) ir šilumos derinys arba kraujo karštis
Su pūliais ar išskiromis – drėgmės ir šilumos perteklius
Purpurinės – kraujo stazė arba stagnuojantis karštis kraujyje
Vaistažolės, dažniausiai naudojamos formulėse tokiems odos požymiams:
Jing Jie, Fang Feng – ramina "vėją", mažina niežėjimą
Huang Qin, Zi Hua Di Ding – vėsina karštį, šalina toksinus
Cang Zhu, Yi Yi Ren – šalina drėgmę


Papulės pvz.
3. Mazgai (Nodules, >0,5 cm)
TKM interpretacija: didesni, gilesni nei papulės, gali būti uždegiminiai ar cistiniai.
Raudoni ar purpuriniai – kraujo ir energijos stazė
Kūno spalvos, minkšti – drėgmė, flegma su stagnacija
Skausmingi ir raudoni – flegma ir karštis
Vaistažolės, dažniausiai naudojamos formulėse tokiems odos požymiams:
Dan Shen – reguliuoja kraują
Cang Zhu, Fu Ling – šalina drėgmę
Zi Cao, Huang Lian – vėsina karštį ir šalina toksinus
4. Pūslelės su skysčiu (Vesicles, iki 0,5 cm)
TKM interpretacija: su skysčiu, mažos ar didelės.
Raudonos su skysčiu – toksinis karštis (toksinis TKM gali reikšti labai stiprų uždegimą, karštį)
Skaidrios – drėgmė, vėjo (Jeigu jaučiamas niežulys) ir drėgmės derinys
Kraujingos – karštis kraujyje
Vaistažolės, dažniausiai naudojamos formulėse tokiems odos požymiams:
Zi Hua Di Ding, Huang Qin – šalina karštį ir toksinus
Cang Zhu, Fu Ling – šalina drėgmę
Sheng Di Huang – vėsina kraują


Puslelės (Vesicles) pvz.
5. Didelės pūslelės (Bulla, >0,5 cm)
TKM interpretacija: su pūliais, dažnai dėl infekcijos ar uždegimo.
Geltonos ar skystos – drėgmės ir šilumos perteklius
Skaidrios, minkštos – drėgmės perteklius arba blužnies energijos silpnumas su drėgme
Kraujingos – kraujo karštis
Vaistažolės, dažniausiai naudojamos formulėse tokiems odos požymiams:
Cang Zhu, Fu Ling – šalina drėgmę
Huang Qin, Huang Lian, Zi Hua Di Ding – šalina karštį ir toksinus
Sheng Di Huang – vėsina kraują


Didelės pūslelės (Bulla) pvz.
6. Pūlingi spuogai (Pustules)
TKM interpretacija: su pūliais, dažnai dėl infekcijos ar uždegimo.
Geltonos – drėgmė ir karštis su toksinais
Plonos, lengvai plyštančios – dažniausiai išorinės priežastys, vėjo ir karščio derinys
Storos, sunkiai plyštančios – vidinis toksinis karštis
Vaistažolės, dažniausiai naudojamos formulėse tokiems odos požymiams:
Huang Lian, Huang Qin, Zi Hua Di Ding – šalina karštį ir toksinus
Cang Zhu, Yi Yi Ren, Fu Ling – šalina drėgmę


Pūlingi spuogai (Pustules) pvz.
7. Laikini bėrimai (Wheal)
TKM interpretacija: laikini, raudoni, niežtintys bėrimai.
Raudoni – "vėjas" ir šiluma su kraujo karščiu
Blyški raudona – energijos ir kraujo trūkumas
Atsirandantys dėl šalčio – "vėjas" ir šaltis
Vaistažolės, dažniausiai naudojamos formulėse tokiems odos požymiams:
Jing Jie, Fang Feng – ramina "vėją"
Sheng Di Huang – vėsina kraują
Cang Er Zi, Bai Zhi – mažina niežulį ir patinimą


Laikini bėrimai (Wheal)
Antriniai odos pažeidimai
Antriniai pažeidimai atsiranda vėliau nei pirminiai – dažniausiai dėl ligos progresavimo, įbrėžimų, pūlių ar kitų procesų odoje. TKM specialistai juos vertina kaip signalus apie gilėjančius energetinius disbalansus.
1. Pleiskanos, žvyneliai(Masto arba šašeliai)
Sausa, balta ant raudonos odos – kraujo karštis sukeliantis vėjo energiją.
Sausa, balta ant blyškios odos – kraujo trūkumas sukeliantis vėjo energiją.
Riebios, geltonos – drėgmės ir karščio perteklius.
2. Erozijos (Odos paviršiaus pažeidimai, negyja be randų)
Su eksudatu – drėgmės perteklius (dažnai sėdmenų, tarpupirščių ar kirkšnių srityje).
Geltonas eksudatas – drėgmė ir karštis.
3. Įtrūkimai (Fissures)
Linijiniai odos plyšimai dažniausiai delnuose, pėdose ar lūpų kampučiuose.
Su krauju – kraujo karštis ir vėjo sausumas.
Be kraujo – energijos ir kūno skysčių trūkumas arba ekstremali sausuma ar šalčio poveikis.
4. Oda sustorėjusi (Lichenifikacija)
Sutrumpinta, šiurkšti oda, dažnai atsirandanti dėl nuolatinio niežėjimo.
TKM požiūriu dažnai rodoma drėgmės stagnacija arba kraujo ir energijos trūkumas.
5. Įbrėžimai kurie lieka po kasimosi
Su kraujingais šašais – kraujo karštis sukeliantis vėjo (nes pagrindinis faktorius yra niežėjimas) energiją.
Baltos ar linijinės – "vėjas" (nes pagrindinis faktorius yra niežėjimas) ar vidaus sausumas.
6. Šašeliai (Crusts)
Purpuriniai / geltoni – drėgmė su karščiu arba toksiniais procesais odoje.
Kraujingi – kraujo karštis.
Išvada
Pirminiai odos pažeidimai suteikia TKM specialistams svarbios informacijos apie kūno energetinę būklę, kraujo ir energijos harmoniją bei drėgmės ar karščio perteklių. Remiantis šiais požymiais parenkamos tinkamiausios žolelės ir formulės, kurios gali papildyti odos gerinimą, skatinti odos gerėjimą, mažinti uždegimą ir stabilizuoti organizmo balansą. Kai kuriais atvejais, TKM priemonės gali būti net pagrindinė priemonė odos sveikatai gerinti, ypač siekiant išvengti recidyvų ir palaikyti ilgalaikę sveiką odą.